症例集-case-
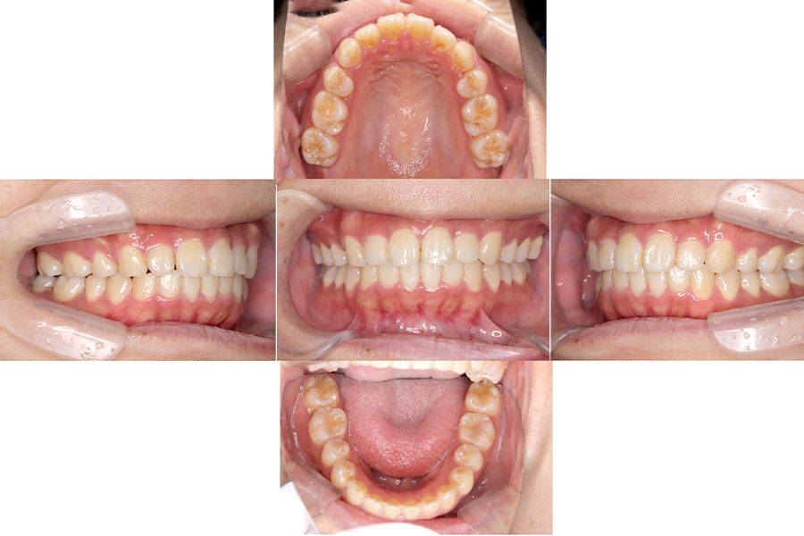
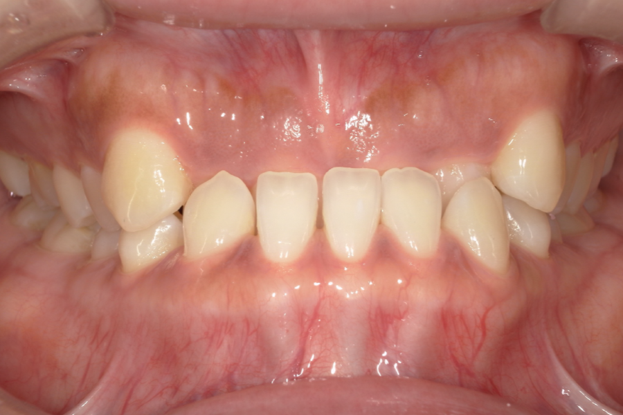
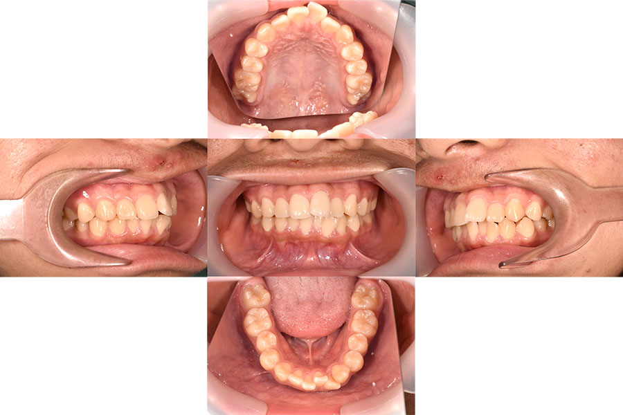
口唇突出(口ゴボ、上下顎前突)
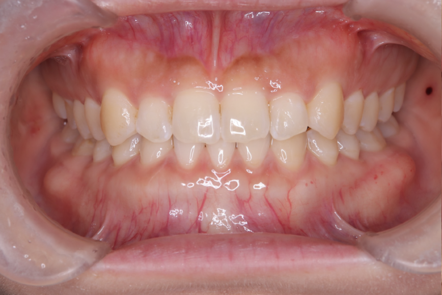
治療後

治療前
治療後

| 年齢・性別 | 20代男性 |
|---|---|
| 主訴 | 前歯のデコボコ、 口元の出っ張りが気になる |
| 症状 | 上下顎前歯部叢生、上下顎前突 |
| 装置 | ワイヤー矯正 インプラントアンカー |
| 抜歯 | 上下左右4本抜歯 |
| 費用 | 935,000円(税込) |
| 治療期間 | 2年8ヶ月 |
| 副作用(リスク) | 治療中の違和感・痛み、歯根吸収、歯周病、 歯肉退縮、歯髄壊死、虫歯 |
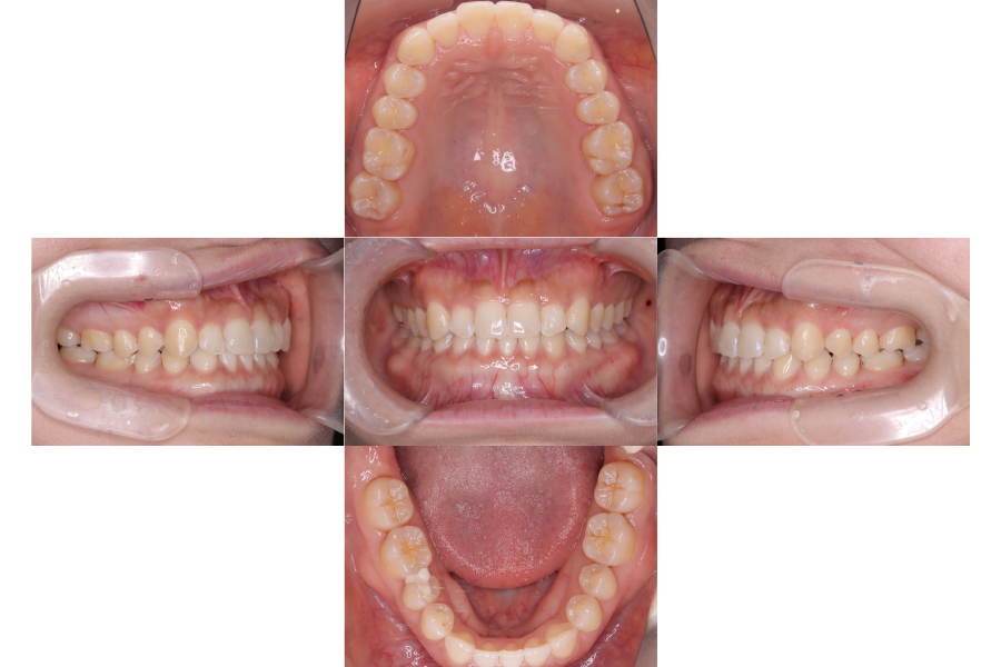
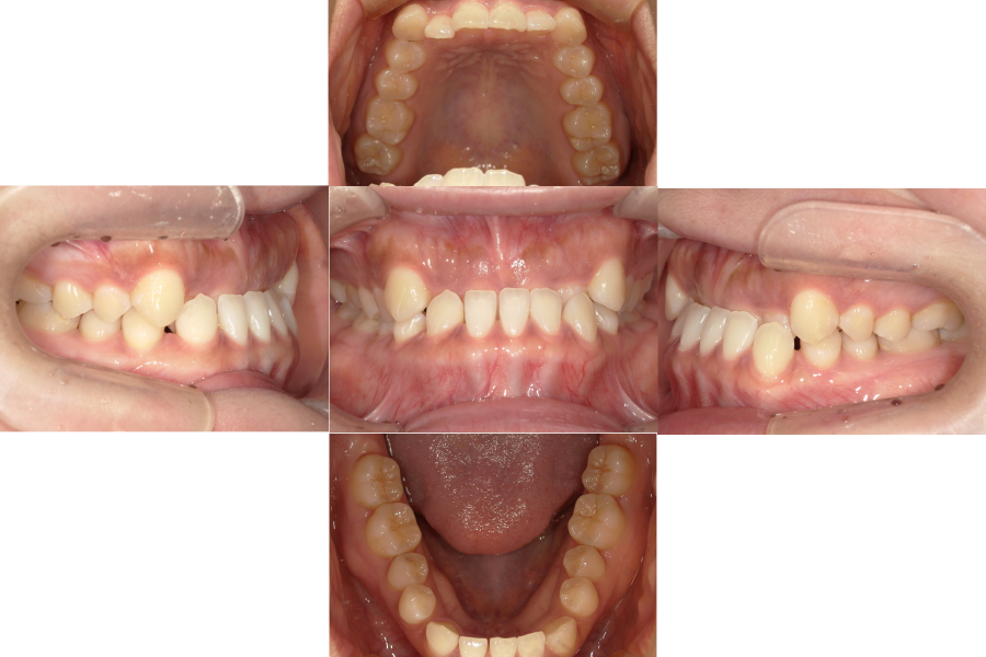
開咬(オープンバイト)
治療前
治療後

治療前
治療後

| 年齢・性別 | 20代女性 |
|---|---|
| 主訴 | 前歯で咬めないのが気になる |
| 症状 | 上下顎前歯部叢生、前歯部開咬 |
| 装置 | インビザライン(マウスピース矯正)、 顎間ゴム |
| 抜歯 | 非抜歯 |
| 費用 | 935,000円(税込) |
| 治療期間 | 1年1ヶ月 |
| 副作用(リスク) | 治療中の違和感・痛み、歯根吸収、 歯周病、歯肉退縮、歯髄壊死、虫歯 |
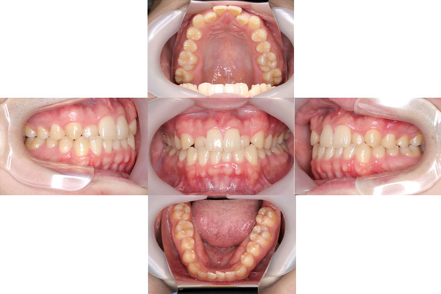
ガタガタ、埋伏歯
治療前
治療後

治療前
治療後

| 年齢・性別 | 20代女性 |
|---|---|
| 主訴 | 前歯のデコボコが気になる。 歯が埋まっている。 |
| 症状 | 上下顎前歯部叢生、上顎右側犬歯埋伏 |
| 装置 | ワイヤー矯正 インプラントアンカー |
| 抜歯 | 上顎左右犬歯および 下顎両側第一小臼歯(4本抜歯) |
| 費用 | 935,000円(税込) |
| 治療期間 | 1年9ヶ月 |
| 副作用(リスク) | 治療中の違和感・痛み、歯根吸収、 歯周病、歯肉退縮、歯髄壊死、虫歯 |
上顎前突(出っ歯)
治療前
治療後

治療前
治療後

| 年齢・性別 | 20代女性 |
|---|---|
| 主訴 | 前歯のデコボコと出っ歯が気になる。 |
| 症状 | 上下顎前歯部叢生、 過大なオーバージェット |
| 装置 | ワイヤー矯正 インプラントアンカー |
| 抜歯 | 上顎左右第一小臼歯(2本抜歯) |
| 費用 | 935,000円(税込) |
| 治療期間 | 2年9ヶ月 |
| 副作用(リスク) | 治療中の違和感・痛み、歯根吸収、 歯周病、歯肉退縮、歯髄壊死、虫歯 |
上顎前突(出っ歯)
治療前
治療後

治療前
治療後

| 年齢・性別 | 20代女性 |
|---|---|
| 主訴 | 前歯のデコボコと出っ歯が気になる。 |
| 症状 | 上下顎前歯部叢生、 過大なオーバージェット |
| 装置 | ワイヤー矯正、インプラントアンカー |
| 抜歯 | 上顎左右第一小臼歯(2本抜歯) |
| 費用 | 935,000円(税込) |
| 治療期間 | 2年6ヶ月 |
| 副作用(リスク) | 治療中の違和感・痛み、歯根吸収、 歯周病、歯肉退縮、歯髄壊死、虫歯 |
歯ならびの凸凹
治療前
治療後

治療前
治療後

| 年齢・性別 | 20代男性 |
|---|---|
| 主訴 | 前歯が反対になっているのが気になる |
| 症状 | 上下顎前歯部叢生 |
| 装置 | インビザライン(マウスピース矯正)、 顎間ゴム |
| 抜歯 | 非抜歯 |
| 費用 | 935,000円(税込) |
| 治療期間 | 11ヶ月 |
| 副作用(リスク) | 治療中の違和感・痛み、歯根吸収、 歯周病、歯肉退縮、歯髄壊死、虫歯 |
歯ならびの凸凹
治療前
治療後

治療前
治療後

| 年齢・性別 | 10代女性 |
|---|---|
| 主訴 | 前歯のガタガタと出っ歯が気になる |
| 症状 | 上下顎前歯部叢生 |
| 装置 | インビザライン(マウスピース矯正)、 顎間ゴム |
| 抜歯 | 非抜歯 |
| 費用 | 935,000円(税込) |
| 治療期間 | 1年 |
| 副作用(リスク) | 治療中の違和感・痛み、歯根吸収、 歯周病、歯肉退縮、歯髄壊死、虫歯 |
高校生の歯並び
治療前
治療後

治療前
治療後

| 年齢・性別 | 10代女性 |
|---|---|
| 主訴 | 歯がデコボコ歯、受け口、発音しにくい |
| 症状 | 上下顎前歯部叢生、切端咬合 |
| 装置 | ワイヤー矯正 |
| 抜歯 | 上下左右4本抜歯 |
| 費用 | 935,000円(税込) |
| 治療期間 | 1年3ヶ月 |
| 副作用(リスク) | 治療中の違和感・痛み、歯根吸収、 歯肉退縮、 歯髄壊死、虫歯・歯周病リスク 等 |
症例解説
4本抜歯ですが、スムーズに終えられた治療です。少し下顎が大きい傾向がありましたので、治療中に反対咬合にならないように注意して治療を進めました。一般的な4本抜歯の治療期間の約半分で治療を終了することができました。
高校生の歯並び
治療前
治療後

治療前
治療後

| 年齢・性別 | 10代女性 |
|---|---|
| 主訴 | 前歯のデコボコと口の出っ張りが気になる |
| 症状 | 上下顎前歯部叢生、上下顎前突 |
| 装置 | ワイヤー矯正 |
| 抜歯 | 上下左右4本抜歯 |
| 費用 | 935,000円(税込) |
| 治療期間 | 1年7ヶ月 |
| 副作用(リスク) | 治療中の違和感・痛み、歯根吸収、 歯肉退縮、 歯髄壊死、虫歯・歯周病リスク 等 |
症例解説
歯を抜かなくても治せましたが、口元の出っ張りを治したいということで4本歯を抜き、治療を行いました。学業の理由により、治療の中断期間もありましたが、2年以内に治療を終了することができました。
過蓋咬合
治療前
治療後

治療前
治療後

| 年齢・性別 | 30代男性 |
|---|---|
| 主訴 | 歯科検診で指摘された、 歯肉炎と歯石が溜まりやすい |
| 症状 | 上下顎前歯部叢生、過蓋咬合、上顎前突 |
| 装置 | インビザライン(マウスピース矯正) |
| 抜歯 | 非抜歯 |
| 費用 | 935,000円(税込) |
| 治療期間 | 2年6ヶ月 |
| 副作用(リスク) | 治療中の違和感・痛み、歯根吸収、 歯肉退縮、 歯髄壊死、虫歯 等 |
反対咬合(受け口)
治療前
治療後

治療前
治療後

| 年齢・性別 | 30代女性 |
|---|---|
| 主訴 | 受け口 |
| 症状 | 前歯部反対咬合、下顎前歯先天性欠如、 下顎歯列空隙歯列弓 |
| 装置 | インビザライン(マウスピース矯正) |
| 抜歯 | 非抜歯 |
| 費用 | 935,000円(税込) |
| 治療期間 | 2年 |
| 副作用(リスク) | 治療中の違和感・痛み、歯根吸収、 歯肉退縮、 歯髄壊死、虫歯 等 |